רע¶¯Îï¿óÎïÔªËØÓªÑøÓ뽡¿µ

¹Ø×¢¹«ÖںйØ×¢ÊÓÆµºÅ

ÁªÏµµç»°400-027-1997

ÁªÏµµç»°19183816468

ppµç×ÓÄ£ÄâÆ÷¹ÙÍø-ÐÂÎÅÖÐÐÄ

ÈÈËѹؼü´Ê£º µ°¼¦ËÇÁÏÌí¼Ó¼Á³§¼Ò ÉúÎïËÇÁÏÌí¼Ó¼Á Ìí¼Ó¼ÁËÇÁÏ ËÇÁÏÌí¼Ó¼Á³§¼Ò

¡¾ÑøÖí¼¼Êõ¡¿¹®¹Ìð¤Ä¤·ÀÏߣ¬¼õÉÙ²¡Ô­Î¢ÉúÎïÈëÇÖ

À´Ô´£ºppµç×ÓÄ£ÄâÆ÷¹ÙÍø¶¯±£ | ·¢²¼ÈÕÆÚ£º2023-11-20

ppµç×ÓÄ£ÄâÆ÷¹ÙÍø¶¯±£ËÇÁÏÌí¼Ó¼ÁÕÐÉÌ


·ÇÎÁ²¡¶¾ÊÇÔõÑùÈëÇÖ»úÌåµÄ?


ºôÎüµÀºÍÏû»¯µÀÊÇ·ÇÖÞÖíÎÁ²¡¶¾ÈëÇÖµÄÖ÷ÒªÃÅ»§£¬µ¥ºË-¾ÞÊÉϸ°ûÊDz¡¶¾µÄÖ÷Òª°Ðϸ°û¡£²¡¶¾Ö÷Ҫͨ¹ý¾Þ°ûÒû»ò Íø¸ñµ°°×½éµ¼µÄÄÚÍÌÍê³ÉÆäÈëÇÖ¡£Ëæºó¾­ÑªÒººÍ»òÁܰÍ×ªÒÆÖÁÁܰͽá¡¢¹ÇË衢Ƣ¡¢¸ÎºÍÉö¶þ´Î¸´ÖÆ¡£


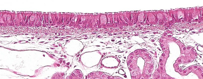
ÖíºôÎüµÀð¤Ä¤


ËùÓÐճĤÉÏÆ¤×éÖ¯£¨Ö÷ÒªÊÇÏû»¯µÀ/ºôÎüµÀ£©¹ÌÓвãÖж¼ÓоÞÊÉϸ°ûºÍ µ¥ºËϸ°û¡£µ±Õ³Ä¤ÉÏÆ¤×éÖ¯ÆÆËðʱ£¬¾ÞÊÉϸ°û»á´óÁ¿¾Û¼¯£¬Ó벡¶¾Ö±½Ó½Ó´¥¡£


Öí·ÀÓùÌåϵ¼°Ï໥¹ØÏµ


·ÇÎÁµ±Ï¡°·À¡±ÊÇÊ×Ñ¡£¬½¡¿µÍêÕûµÄƤ·ôºÍճĤ¹¹³ÉµÚÒ»µÀÆÁÕÏ£¬½«¡°·ÇÎÁ"²¡¶¾µÖµ²ÔÚÍâ!


άÉúËØºÍ¿óÎïÖʵÄÓªÑø¶Ô²ß


ÓªÑøÊÇÃâÒߵĻù´¡£¬¶øÐí¶àάÉúËØºÍп¶Ô¹¹½¨ÍêÕûµÄƤ·ôÓëճĤÆð×ÅÖ±½Ó»ò¼ä½ÓµÄ×÷Óãº



άÉúËØA

  ¡¤ ´Ù½øÆ¤·ôºÍճĤµÄÉú³É

  ¡¤ ά³ÖÉÏÆ¤Ï¸°ûºÍճĤ±íÃæ¹¦ÄÜÍêÕûÐÔ

  ¡¤ ά³ÖºôÎü¡¢Ïû»¯µÀÉÏÆ¤×éÖ¯µÄÍêÕû



¦Â-ºúÂܲ·ËØ

  ¡¤ ½øÈ붯ÎïÌåºó¿ÉÒÔת±äΪάÉúËØA£¬×÷ΪάÉúËØAµÄÒ»¸ö°²È«À´Ô´ºÍ²¹³ä

  ¡¤ Ïû³ý¶¯Îï±¾Éí×ÔÓÉ»ù£¬¼õÉÙ×ÔÓÉ»ù¶Ôϸ°ûºÍϸ°ûĤµÄËðÉË£¬Î¬»¤ÍêÕûÐÔ


ÑøÖí¼¼Êõ



ÉúÎïËØ

  ¡¤ ά³Ö»úÌåÉÏÆ¤×éÖ¯ºÍ½ÇÖʲãϸ°ûÍêÕûÐÔ

  ¡¤ ȱ·¦»áµ¼ÖÂÏû»¯µÀ¡¢ºôÎüµÀºÍÃÚÄòµÀÉÏÆ¤Ï¸°û×éÖ¯²»ÍêÕû£¬¶¯ÎïÌåÒ×ÊÜϸ¾úºÍ²¡¶¾¸ÐȾ



άÉúËØE

  ¡¤ ϸ°ûÄÚ ¿¹Ñõ»¯¼Á£¬±£»¤Ï¸°ûĤµÄÍêÕû

  ¡¤ Îȶ¨ºÍ±£»¤Ï¸°û´úлÖжÔÑõ»¯×÷ÓÃÃô¸ÐµÄÖ¬·¾ËáÒÔ¼°ÆäËûÃô¸ÐµÄ»¯ºÏÎÖîÈ磺άÉúËØA¡¢¦Â-ºúÂܲ·ËØ

  ¡¤ ·ÀÖ¹»úÌå×éÖ¯ ²»±¥ºÍÖ¬·¾ËáµÄÑõ»¯£¬·ÀÖ¹ÓÉ»úÌå»ò»·¾³²úÉúµÄ²»Îȶ¨¡¢ÆÆ»µÐÔµÄ×ÔÓÉ»ùËùÒýÆðµÄ»úÌåϸ°ûµÄÑõ»¯ÆÆ»µ


ÑøÖí¼¼Êõ



άÉúËØC

  ¡¤ ¿¹Ó¦¼¤

  ¡¤ ×éÖ¯ÐÞ¸´£¬½ºÔ­×éÖ¯µÄÐγÉ£¬¼Óǿϸ°û¼äÁªÏµ£¬·ÀÖ¹²¡Ô­ÌåÈëÇÖ

  ¡¤ ¿¹Ñõ»¯¼Á£º±£»¤Î¬ÉúËØA¡¢Î¬ÉúËØE¡¢¦Â-ºúÂܲ·ËØ£¬±£Ö¤ËüÃǵĻîÐÔ

  ¡¤ Æä¿¹Ñõ»¯×÷ÓÿɵÖÓù×ÔÓÉ»ù¶Ô»úÌåÉ˺¦£¬Î¬³Öϸ°û×éÖ¯ÍêÕûÐÔ



ÑÌËá

  ¡¤ ÑÌËáÊÇÑõ»¯-»¹Ô­·´Ó¦Öеç×ÓµÄÔØÌ壬ËüÒÔ¸¨Ã¸ÐÎʽ´æÔÚÓÚÑÌõ£°·ÏÙàÑßʶþºËÜÕËáÊÇÒ»ÖÖ³¬Ç¿¿¹Ñõ»¯¼Á£¬¿É±£»¤»úÌåϸ°û¡£

  ¡¤ ´Ù½øÆäËü¿¹Ñõ»¯ÎïÔÙÉú£¨Î¬ÉúËØE¡¢Î¬ÉúËØC¡¢¹Èë׸Êëĵȣ©




п / Æ½ºâÃâÒߣ¬¶Ô¿¹¸ÐȾµÄƽ¼ÛÓªÑøËØ

Ö§³ÖÃâÒ߯÷¹ÙºÍÃâÒßϸ°ûµÄÕý³£·¢Óý

  пȱ·¦Ê±¿ÉÒýÆðÐØÏÙ¡¢Æ¢¡¢ÁܰͽáºÍ³¦µÀÁܰÍ×éÖ¯¹¦Äܲ»È«£¬ÑÏÖØÕß·¢Õ¹ÎªÁܰÍ×é֯ήËõ¡£

  пµ÷½ÚÃâÒßϸ°ûµÄÔöÖ³¡¢·Ö»¯¡¢³ÉÊìºÍ¹¦ÄÜ¡£

ͨ¹ý¶àÖÖ»úÖÆ¶Ô¿¹¸ÐȾ

  Ö§³ÖºôÎüµÀճĤ±íÃæÏËëµÄÇå³ý×÷Óã¬Î¬³ÖÉÏÆ¤Ï¸°ûµÄÍêÕûÐÔ£¬ÔöÇ¿ÆäÆÁÕϹ¦Äܲ¢°ïÖúÉË¿ÚÓúºÏ£¬ÒÖÖÆ¶àÖÖ²¡¶¾½øÈëϸ°û¸´ÖÆ¡£

  п±»Ö¤Ã÷ͨ¹ýµ÷½Ú²¡¶¾¿ÅÁ£½øÈë¡¢Èںϡ¢¸´ÖÆ¡¢²¡¶¾µ°°×·­ÒëºÍ¶ÔһЩ²¡¶¾£¨°üÀ¨²ÎÓëºôÎüϵͳ²¡ÀíµÄ²¡¶¾£©µÄ½øÒ»²½ÊÍ·Å£¬¶Ô²¡¶¾¸ÐȾ¾ßÓÐÏÔÖøÓ°Ïì¡£

ƽºâÃâÒߣ¬¶¯Ì¬µ÷½ÚÃâÒß

  пµÄ×÷ÓÃÒ»°ã²»Ó¦±»ÃèÊöΪÔöÇ¿ÃâÒß»òÒÖÖÆÃâÒߣ¬¶øÓ¦¸Ã±»ÃèÊöΪ¡°Æ½ºâÃâÒß¡±£¬¼´Í¨¹ýƽºâ¶àÖÖÃâÒßϸ°ûºÍϸ°ûÒò×Óˮƽ£¬À´ÔöÇ¿µÍϵÄÃâÒß»òϵ÷¹ý¶ÈµÄÃâÒߺÍÑ×Ö¢·´Ó¦¡£

  пµÄ¿¹Ñõ»¯×÷ÓÃÄÜÎȶ¨Ï¸°ûĤ£¬¼õÉÙ×ÔÓÉ»ùËðʧÕý³£µÄ×é֯ϸ°û¡£


ÑøÖí¼¼Êõ



άËû»îÁ¦Íõ


ÓлúòüºÏп¼°¶àÖÖάÉúËØ¿ÆÑ§ÅäÎ飬άÉúËØº¬Á¿¸ß¡¢Ë®ÈÜÐԺá¢ÑøÖ³¶¯ÎïÎüÊպá£


άËû»îÁ¦Íõ


  ¡¤ ²¹³ä»úÌåËùÐèµÄάÉúËØÓë΢Á¿ÔªËØ£¬´Ù½ø»úÌåÌÇ¡¢Ö¬·¾¡¢µ°°×ÖÊ´úлºÍÓªÑøÎüÊÕ¡£

  ¡¤ ÔöÇ¿ÃâÒßÁ¦£¬Ìá¸ßÒßÃçÃâÒßЧ¹û£¬½â³ýÃâÒßÒÖÖÆ£¬Ïû³ýÑǽ¡¿µ×´Ì¬£¬µ÷½Ú»úÌåÃâÒßϵͳ¹¦ÄÜ£¬È«ÃæÌá¸ß»úÌåÃâÒßÁ¦£»Ê¹ÓÃÒßÃçʱ£¨Ç°¡¢ÖС¢ºó£©Ê¹Óñ¾Æ·£¬¿ÉÌá¸ßÃâÒßÓ¦´ðˮƽ£¬´Ù½ø¿¹ÌåÐγɣ¬Ìá¸ßÒßÃçÃâÒßЧ¹û¡£

  ¡¤ ѸËÙ¡¢È«ÃæµÄ¿¹Ó¦¼¤×÷Ó㬵÷½Ú¶¯Îï»úÌåµç½âÖÊÆ½ºâ£¬Ìá¸ß»úÌ忹Ӧ¼¤ÄÜÁ¦£¬½µµÍÒòÆøºòÍ»±ä¡¢ÔËÊä¡¢·ÖÃ䡢תȺ/²¢Èº¡¢¶ÏÄÌ¡¢»»ÁÏ¡¢Ñ˸עÉäÒßÃ磨ҩÎ¡¢²¶×½Çý¸ÏµÈÒýÆðµÄ·´Ó¦Ó¦¼¤£¬¼õÉÙ¶¯ÎïÔ궯¡¢´ò¶·¡¢¹°À¸¡¢Ò§Î²¡¢Òìʳñ±¡¢×Äñ±µÈÒì³£ÐÐΪ¡£


ppµç×ÓÄ£ÄâÆ÷¹ÙÍø¶¯±£ËÇÁÏÌí¼Ó¼ÁÕÐÉÌ

  Èç¹ûÄãÊÇÊÞÒ©¡¢¶¯±£¾­ÏúÉÌ£¬Ïë´úÀíppµç×ÓÄ£ÄâÆ÷¹ÙÍø¶¯±£µÄ²úÆ·£¬Ç벦´ò 400-027-1997ÓëÎÒÃÇÁªÏµ£¬ÆÚ´ýÓëÄãºÏ×÷£¡


¡¾±¾ÎıêÇ©¡¿ ÑøÖí¼¼Êõ ppµç×ÓÄ£ÄâÆ÷¹ÙÍø¶¯±£ άËû»îÁ¦Íõ ÖíÖ»·ÀÓùÌåϵ

¡¾ÔðÈα༭¡¿ppµç×ÓÄ£ÄâÆ÷¹ÙÍø¶¯±£

×îÐÂ×ÊѶ

sitemap¡¢µØÍ¼